Contatto telefonico
+39 080 542 77 35
Indirizzo email
info@msconsulting.it
+39 080 542 77 35
info@msconsulting.it
Progettato con il contributo di medici da tutto il mondo, il sistema ecografico ACUSON Sequoia è stato creato pensando sia agli specialisti che ai pazienti.
Il sistema ACUSON Sequoia grazie alla tecnologia BioAcoustic riduce gli effetti della variabilità degli ultrasuoni tra utenti, pazienti e tecnologia.
Riducendo la variabilità spesso riscontrata durante gli esami ecografici, il sistema ACUSON Sequoia può aiutare a fornire approfondimenti clinici efficaci.
ACUSON Sequoia ti dà la possibilità di vedere meglio massimizzando la sensibilità e la profondità delle tue scansioni. Potrai effettuare diagnosi precise mantenendo un’alta risoluzione di immagine grazie alle sonde ottimizzate che forniranno una maggiore profondità di scansione.
La tecnologia lnFocus utilizza fasci concentrati e focalizzati retrospettivamente in tutto il campo visivo e a tutte le profondità.
Questo permette di ottenere maggiori informazioni durante la scansione, utilizzando un elevato numero di fasci multipli sovrapposti invece che fasci singoli o paralleli come nei sistemi tradizionali.

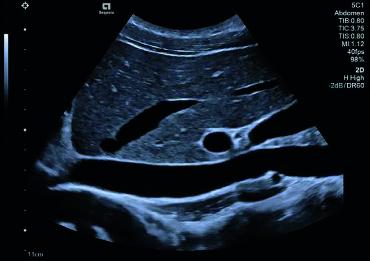
Imaging completamente focalizzato del fegato e IVC utilizzando la tecnologia Infocus che offre uniformità dell’immagine in tutto il campo visivo.

Utilizzando specifici filtri adattivi basati su intelligenza artificiale Slow-flow permette di visualizzare il micro-circolo nel tessuto come questo rene.

Visualizza un tracciato Doppler pulite e chiare grazie a Doppler TEQ. Scala, guadagno e linea di base vengono regolati automaticamente con funzionalità complete di post elaborazione.

Riduci rapidamente i tempi di acquisizione dell’elastografia epatica con uno strumento di valutazione del grasso epatico che aiuta a ridurre il tempo e la variabilità dell’operatore acquisendo fino a 15 misurazioni pSWE valide in meno di 5 secondi.

Visualizza mappe a colori qualitative e quantitative per misurare la velocità dell’onda a shearwave con precisione e ripetibilità, come dimostrato in questo esempio tra il grasso periferico e renale.
Siemens Healthineers Ultrasound offre un’ampia gamma di trasduttori avanzati che permettono di aumentare le capacità diagnostiche del sistema ecografico.
Le tecnologie brevettate e il design innovativo delle nostre sonde permettono di eseguire un’ampia gamma di esami e applicazioni, offrendo flessibilità e valore clinico senza pari.

Grazie a un accelerometro integrato e un software avanzato, con un solo tocco della sonda, il sistema ecografico riconosce autonomamente quale sonda e quale tipologia di esame deve eseguire il medico

I trasduttori ad alta densità di elementi con tecnologia Multi-D consentono il controllo dinamico del FOV e di mantenere un’ottima risoluzione di contrasto fino a 40cm di profondità

Il design delle sonde Single Crystal di ultima generazione offrono larghezze di banda più ampie per una migliore immagine armonica, una migliore risoluzione assiale e una maggiore sensibilità per una penetrazione più profonda e immagini più nitide.

La capacità di generare e utilizzare la massima quantità di potenza acustica gestendo la dissipazione del calore è un modo in cui Siemens definisce l’efficienza del trasduttore.