Ecografo Cardiovascolare Premium dotato di funzioni di intelligenza artificiale in grado di migliorare le diagnosi e di aiutare i medici a eseguire in modo più efficiente le procedure cardiache mini-invasive.

Con l’aumento dei casi cardiovascolari sia in volume che in complessità, i professionisti sanitari devono affrontare sfide scoraggianti. Il nuovo sistema ecografico ACUSON Origin di Siemens Healthineers è stato progettato per affrontarle direttamente con la migliore tecnologia AI della categoria che migliora l’efficienza del flusso di lavoro con usabilità walk-up ed ergonomia migliorata.

Brand:

Il potere dell’intelligenza artificiale nell’ecocardiografia

ACUSON Origin è un sistema completo che può essere utilizzato per la diagnostica, la cardiologia strutturale, l’elettrocardiografia e la pediatria, per gestire l’intero continuum assistenziale del paziente.

 
  • AI Assist: una nuova funzione guidata dall’AI con riconoscimento automatico delle strutture cardiache nel momento in cui il trasduttore entra in contatto il paziente. 
  • L’intelligenza artificiale accelera la diagnosi e riduce la variabilità delle misurazioni.
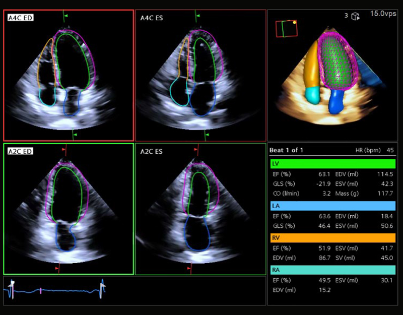
  • 2D Heart: tracciamento automatico dei bordi dell’endocardio in 4 camere, 3 camere e 2 camere con valutazione contrattile, volumetrica e con calcolo automatico del GLS, anche senza l’utilizzo dell’ECG
  • 4D Heart: tracciamento automatico in 3D/4D di tutte e quattro le camere con la nuova sonda cardiologica a matrice e ricostruzione 3D/4D automatica
  • Pacchetto completo per le misure automatiche di uno studio ecocardiografico
  • Speckle Tracking (Strain) automatico anche senza l’utilizzo dell’ECG e utilizzabile anche con l’utilizzo del mezzo di contrasto

Artificial Intelligence - 4D Hearth

Con un clic, anche senza ECG, permette la rilvazione automatica del bordo endocardico delle 4 camere cardiache con generazione automatica del rendering 3D/4D.

Misura del GLS Totale di tutte le 4 camere, e GLS segmentario delle sezioni di sinistra con creazione del Bull’s-Eye.

Benefici:
Analisi con un solo clic    Efficiente e accurata
Facilmente modificabile    Riproducibile

Artificial Intelligence - 2D Hearth Plus

Riconoscimento automatico delle proiezioni 4-Camere, 2-Camere, 3-Camere, anche senza ECG.

Contorno automatico del bordo endocardico con valutazione del GLS Globale e GLS Segmentario per ogni singola camera con possibilità di utilizzare anche il mezzo di contrasto.

Benefici:
Analisi con un solo clic    Efficiente e accurata
Facilmente modificabile    Riproducibile