Contatto telefonico
+39 080 542 77 35
Indirizzo email
info@msconsulting.it
+39 080 542 77 35
info@msconsulting.it
Un nuovo livello di prestazioni è ora a portata di mano, offrendo versatilità clinica e immagini di alta qualità grazie alla tecnologia ACUSON.
Il sistema ecografico ACUSON Maple stabilisce un nuovo standard, rendendo accessibile un’immagine affidabile e di alta qualità in ambienti esigenti e frenetici per ogni paziente, ogni giorno. Qualità d’immagine al top della categoria per una diagnosi sicura. Strumenti di produttività personalizzabili e potenti soluzioni di intelligenza artificiale per migliorare l’usabilità e l’efficienza. Design studiato per un funzionamento intuitivo. Ingombro ridotto e portabilità leggera per migliorare i flussi di lavoro e aiutare più pazienti.
Progettato per la versatilità, ACUSON Maple supporta 15 trasduttori e ha 25 funzioni avanzate che migliorano l’usabilità e semplificano il flusso di lavoro.
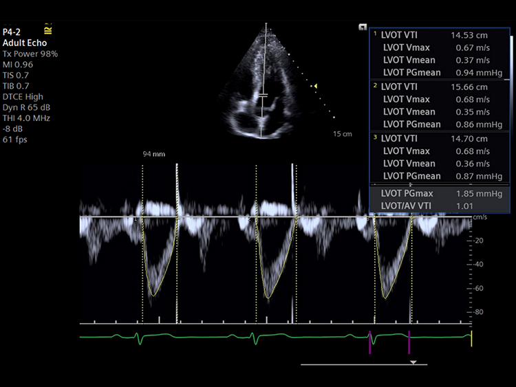
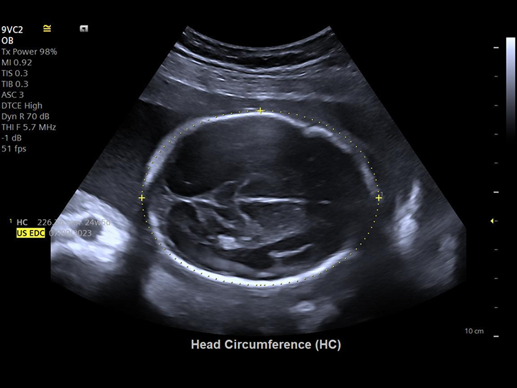
Per l’imaging ostetrico e ginecologico la funzionalità Auto OB sfrutta l’apprendimento automatico per calcolare automaticamente l’età e il peso del feto, riducendo il tempo di misurazione complessivo fino al 24%. Per l‘imaging cardiaco, la funzionalità eSie Measure utilizza l’apprendimento automatico per eseguire automaticamente misurazioni cardiache durante un esame ecocardiografico di routine, accorciando il tempo dell’esame fino a cinque minuti.

La tecnologia di imaging avanzata Four Sight offre funzioni di acquisizione e post-elaborazione aggiuntive, come Thickslice Imaging e Curved MPR.

La velocità del suono varia in modo significativo nei tessuti umani normali e viene regolata per adattarsi al meglio al tessuto. Questa tecnologia migliora la risoluzione laterale e la definizione dei confini tra i tessuti in un'immagine.

Il pacchetto di misurazione eSie Left Heart è uno strumento affidabile che migliora la precisione e il flusso di lavoro rilevando automaticamente i confini atriali e ventricolari sinistri.

Utilizzando la tecnologia di rendering LightSource è possibile ottenere una rappresentazione più precisa del feto.

Le misurazioni syngo Auto OB sono un algoritmo innovativo che riconosce i punti di riferimento anatomici delle sei principali strutture fetali standardìed esegue automatica,ente queste misurazioni biometriche semplicemente premendo un pulsante.

Rileva e previene automaticamente gli artefatti da movimento associati al movimento della sonda e del paziente, migliorando la sensibilità delle immagini.